Autore: Ernest S Campbell
Traduzione: Marco Daturi
Revisione: Maurizio Schiavon
La subacquea: effetti a lungo termine
Abstract
Man mano che la subacquea con autorespiratore si diffonde, i ricercatori riescono ad individuare, se ci sono, gli effetti a lungo termine della sua pratica sul corpo umano.
Per ogni caso di Patologia da Decompressione (PDD) trattato in modo manifesto, ci sono molti casi di subacquei con bolle di gas a livello vascolare, delle quali stiamo iniziando solo ora a capirne le implicazioni.
Sappiamo che almeno un terzo della popolazione ha il forame ovale pervio (PFO), e che questo comporta per il subacqueo un maggior rischio di passaggio delle bolle d’aria dalla parte destra alla parte sinistra del cuore e una conseguente possibilità di embolia gassosa arteriosa.
Un gruppo ad alto rischio per quanto riguarda gli effetti dell’attività subacquea a lungo termine sono i subacquei professionisti, che fanno immersioni ripetute con tempi di decompressione ridotti. Le più note conseguenze in questi casi sono osteonecrosi disbarica, perdita di udito, deficit neurologici permanenti. Queste conseguenze sono di solito il risultato di un incidente da decompressione; si ipotizza, ad ogni modo, che questi effetti possano insorgere anche eseguendo decompressioni corrette ed in assenza di incidenti.
Stanno emergendo recentemente casi di disfunzioni della cognizione, danni al fegato, retina e cuore, nei subacquei che non hanno mai avuto problemi di PDD.
Dal momento che questi sintomi possono insorgere gradualmente e lontano dal luogo d’immersione, un medico prudente deve essere informato che tali segni e sintomi sono correlabili all’attività subacquea, in modo da poter minimizzare morbilità e mortalità che l’attività stessa possono causare.
Introduzione
Il corpo umano si è adattato a vivere circondato da gas a pressione ambiente. La pressione atmosferica si misura in atmosfere assolute (ATA), e il suo valore al livello del mare è di 1.
Le leggi dei gas naturali dicono che quando il corpo è esposto ad una pressione crescente, come succede durante l’immersione subacquea, i gas tendono a disciogliersi in esso. In risalita, questi stessi gas, sottoposti ad un fenomeno inverso, tendono a ri-aggregarsi e a formare delle bolle, il che porta a due possibili conseguenze: bloccare i vasi sanguigni o iniziare una risposta infiammatoria. Il blocco dei vasi sanguigni determina ischemia ed infarto dei tessuti che circondano l’ostruzione, mentre processi infiammatori nei tessuti compromettono ulteriormente la circolazione con edema, cicatrici, danni a lungo termine alla colonna vertebrale, al cervello, ed agli altri tessuti coinvolti nel processo.
Le più serie conseguenze di questi processi fisiologici sono la malattia da decompressione (Decompression Sickness – DCS) e la rottura alveolare o embolia gassosa cerebrale, derivata da embolia gassosa arteriosa (arterial gas embolism – AGE).
Dal momento che si presentano in modo simile, queste due entità sono conosciute come Patologia da Decompressione (PDD) (decompression illness – DCI), e sono trattate nello stesso modo, in camera iperbarica, utilizzando un’apposita combinazione di ossigeno e aria o elio.
Appare ora chiaro come possano insorgere nel subacqueo delle variazioni subcliniche occulte, senza manifestazioni evidenti di PDD. Ciò è documentato dall’aumento di frequenza dei casi di osteonecrosi discarica e difficoltà di udito nei subacquei professionisti.
I subacquei ricreativi possono quindi essere a rischio anche per questi sintomi latenti, che colpiscono cervello, midollo spinale, occhi e polmoni.
La popolarità della subacquea sta crescendo notevolmente; dal momento che gli effetti a lungo termine di tale attività possono insorgere gradualmente, a distanza di tempo e lontano dal luogo d’immersione, è importante che i medici siano consci dei sintomi correlati ad essa, in modo da minimizzare la morbilità e la mortalità che essa è potenzialmente in grado di causare.
Terminologia Iperbarica e Fisica
A livello del mare il corpo è sottoposto ad una pressione di 1 atmosfera (1 ATA), o 760 millimetri di mercurio (mmHg), secondo un altro sistema di misura. Questo è un riferimento in base al quale noi misuriamo la pressione. Ad esempio, quando diciamo che la pressione sistolica è di 120mmHg, significa che essa è 120mmHg superiore alla pressione dell’ambiente circostante (che è come si è detto di 1 ATA o di 760mmHg), quindi se volessimo esprimerci in valore assoluto diremmo che essa è di 120mmHg+760mmHg = 880mmHg.
Il valore di una qualsiasi pressione, che leggiamo nel manometro, indica il valore della pressione in quel momento rispetto alla pressione atmosferica a livello del mare.
Analogamente, il profondimetro ci indica la pressione “0” (a “0” metri) a livello della superficie del mare o 1 ATM o 760mmHg.
A 10 metri sotto la superficie, esso segnerà 10 metri (2 atmosfere assolute “ATA”, somma di quella di superficie e di quella legata ai 10 metri d’acqua), con aumento di 1 ATM ogni 10 metri di profondità.
La legge di Bolye applicata alla subacquea
La risposta degli organi del nostro corpo alla variazione della pressione dipende dalla quantità d’aria presente in esso, e dallo spazio che la contiene (se è aperto o chiuso).
Un organo solido o pieno di fluido non cambia dimensione con una variazione di pressione, poiché i fluidi e i solidi sono incomprimibili.
Se invece un organo è costituito da pareti elastiche e pieno d’aria, esso cambierà forma secondo la legge di Boyle, la quale stabilisce che il volume di un gas è inversamente proporzionale alla pressione assoluta esercitata sul recipiente che lo contiene.
Un esempio è costituito da un palloncino pieno di 1 metro cubo d’aria alla superficie del mare, alla pressione di 1 atmosfera.
Se tale palloncino viene portato alla profondità di 10 metri (2 ATA), il suo volume si riduce a metà; alla profondità di 20 metri (3 ATA) si riduce a un terzo del suo volume originario, a 30 metri (4 ATA) si riduce ad un quarto, e così via.
All’interno del corpo, tuttavia, gli spazi riempiti di gas hanno una possibilità limitata di variare il loro volume. Pensiamo ad esempio all’orecchio medio e ai polmoni. La loro variazione di volume non presenta problemi finché la quantità di gas presente in tali spazi può variare per compensare le variazioni di pressione.
Questa è la ragione per cui è importantissimo insegnare ai subacquei ad espirare in risalita (l’aria presente nei polmoni in risalita si espande a causa della pressione via via minore) e compensare (immettere gas nell’orecchio medio) per stapparsi le orecchie durante la discesa.
Se queste importanti operazioni di bilanciamento pressorio non vengono effettuate, i tessuti vengono danneggiati e si ha un “barotrauma” dell’orecchio medio (Fig.1) e la rottura degli alveoli con una conseguente embolia gassosa arteriosa (AGE) nel caso del polmone.

Figure 1. barotraumas. Reprinted with permission from Best Publishing Co. P.O. Box 30100, Flagstaff, AZ 86003.
Legenda
Eardrum = timpano
Middle ear space = cavità nell’orecchio medio
Blood and fluid = sangue e fluidi
Eustachian Tube (open to throat) = tuba di Eustachio (aperta con la compensazione)
Altre leggi fisiche
Altre importanti leggi fisiche che trovano applicazioni nella subacquea sono le leggi di Henry e Dalton.
La prima dice che ad una data temperatura la quantità di gas che si solubilizza in un liquido è direttamente proporzionale alla pressione parziale del gas; la seconda dice che la pressione in un gas è uguale alla somma delle pressioni di tutti i gas presenti.
Queste due leggi sono fondamentali per capire la malattia da decompressione.
Durante la discesa del subacqueo, a causa dell’aumento della pressione, c’è più azoto nei tessuti, rispetto alla superficie.
Se una quantità consistente di azoto entra nei tessuti, e il subacqueo ritorna in superficie troppo velocemente, il gas in eccesso non fa in tempo ad essere eliminato gradualmente attraverso i polmoni. Quindi l’azoto in eccesso prima disciolto, a causa della diminuzione della pressione in risalita esce dalla fase di solubilizzazione e forma bolle (fase gassosa) presenti nel sangue e nei tessuti. Tali bolle possono causare un problema clinico che va sotto il nome di malattia da decompressione (decompression sickness – DCS)
Altri casi di esposizioni iperbariche (situazioni di pressione elevata) possono accadere in situazioni quali l’archeologia subacquea e costruzioni di tunnel subacquei, trattamenti iperbarici ad ossigeno, e in aeronautica.
I piloti sono soggetti agli stessi problemi dei subacquei, ma al contrario le bolle si formano in discesa, sempre a causa di una diminuzione di pressione e saturazione di azoto.
La subacquea ricreativa tuttavia è la forma più comune di esposizione iperbarica.
Ci sono conseguenze a lungo termine?
Sono stati tenuti diversi workshop in ambito medico sui potenziali rischi dell’attività subacquea sia professionale che ricreativa. (1) Osteonecrosi e perdita dell’udito a parte, i medici non sono concordi nei rischi derivanti da tali attività; anche recentemente la letteratura medica e la stampa specializzata hanno evidenziato che ci sono dei potenziali effetti cronici a lungo termine, specialmente nel cervello, nel midollo spinale, nell’orecchio interno, nella retina, nelle piccole vie aeree del polmone. Altri studi suggeriscono significative riduzioni della funzionalità polmonare e di quelle cognitive.

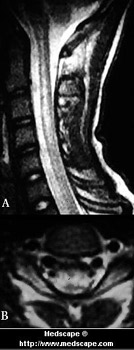
Figure 2. MRI showing spinal cord DCS (cervical and dorsal tract). Reprinted from the Journal of Magnetic Resonance Materials in Physics, Biology and Medicine.
La risonanza magnetica nucleare (MRI) mostra malattia da decompressione del tratto cervicale e dorsale del midollo spinale

Figure 3. Spinal cord DCS (cervical tract). Reprinted from the Journal of Magnetic Resonance Materials in Physics, Biology and Medicine. Malattia da decompressione del tratto cervicale del midollo spinale
Ci si potrebbe aspettare che i danni dovuti alla pressione siano i medesimi nel caso di subacquea militare, ricreativa, commerciale, e che le differenze stiano nell’entità piuttosto che nel genere.
Problemi inerenti gli studi scientifici sui subacquei
I sub con malattia da decompressione sono stati studiati fin dall’avvento degli autorespiratori. Tuttavia il metodo scientifico è attualmente molto sofisticato rilevando poca attendibilità negli studi precedenti. Studiare una specifica popolazione per lungo periodo di tempo è costoso e deve essere standardizzato.
Assenza di gruppi di controllo
L’uso di tecnezio Tc 99m esametil propilene amino oxine (HMPAO) nella scansione cerebrale dei soggetti con embolia gassosa cerebrale dopo fuoriuscita da sottomarino, è stato descritto da Adkinsson e collaboratori nel 1989. ( 2) Da allora la tecnica 99m HMPAO e la tomografia computerizzata ad emissione semplice di fotoni (SPECT) sono state usate per valutare sub dopo malattia da decompressione. Il loro uso è stato contestato da Hodgson e collaboratori per la mancata correlazione tra 4 patterns descritti in sub con storia di decompressione e mancanza di un gruppo di controllo adeguato per stabilire la funzione di base. ( 3) Il confronto con un gruppo di controllo non è stato fatto perché l’uso di marker radioattivi HMPAO in sub sani è costoso, sconveniente e “non etico”.
Variabilità diagnostica
Un altro punto critico degli studi sui sub è che le tecniche usate per diagnosticare modificazioni dovute a malattia da decompressione non sono standardizzate tra i differenti Centri, rendendo impossibile confrontare i risultati raccolti. Tuttavia, presi singolarmente, questi studi contribuiscono ad accrescere le informazioni sulle conseguenze dell’immersione.
Conseguenze fisiologiche dell’attività subacquea
Il forame ovale pervio (PFO)
Le bolle che passano dalla circolazione venosa attraverso il forame ovale pervio possono causare segni e sintomi neurologici immediati ed acuti caratteristici dell’embolia gassosa arteriosa. Il forame ovale pervio è una porta aperta nelle pareti del cuore, che non si è chiusa perfettamente dopo la nascita. Tale apertura è necessaria prima della nascita per permettere l’ossigenazione del sangue attraverso il cordone ombelicale.
Questa “porta aperta” può causare un passaggio di sangue dalla parte destra a quella sinistra del cuore, ma più spesso c’è un passaggio di sangue dal lato sinistro del cuore (alta pressione) al lato destro del cuore (bassa pressione).
Di solito, il passaggio di sangue da sinistra a destra non è problematico, ma quello inverso, se abbastanza rilevante, può causare bassa tensione arteriosa di O2 e limitata capacità di esercizio fisico. Nei subacquei si realizza il rischio di embolia paradossa per il passaggio delle bolle formatesi nella circolazione venosa durante la decompressione. Gli shunts intra-atriali possono cambiare direzione a seconda della fase del ciclo cardiaco ed alcuni esperti pensano che difetti del setto striale ampi possano essere una controindicazione per l’attività subacquea. Inoltre la manovra di Valsalva usata dai sub per compensare l’orecchio medio può aumentare la pressione venosa striale, determinando uno shunt destro-sinistro con passaggio delle bolle che saltano così il filtro polmonare.
Il Dr. Fred Bove, cardiologo della Temple University, ha effettuato una metaanalisi (analisi comparata dei dati della letteratura) sugli effetti della subacquea. ( 4) Egli ha esaminato 2,5 milioni di subacquei (DAN, 1991), e ha trovato solo 1400 casi documentati di malattia da decompressione (0,05%), confermando che questo è un evento raro. Un’analisi su un campione di subacquei affetti fa PFO ha rivelato che il loro rischio di malattia da decompressione è aumentato di un fattore 3.
Ad oggi non abbiamo abbastanza informazioni per stabilire se tutti i sub devono sottoporsi a un ecocardiogramma per stabilire la presenza di PFO. Se un subacqueo però dovesse avere qualche sintomo è necessario sia sottoposto ad ecocardiogramma con bolle di contrasto. Tale esame è considerato il metodo più sensibile per rilevare uno shunt, mentre il Doppler a colori durante un ecocardiogramma transtoracico risulta poco utile.
Osteonecrosi disbarica
Agli inizi del secolo, centinaia di uomini erano impegnati nella costruzione di tunnel e ponti, usando aria compressa per mantenere asciutto il luogo di lavoro. E’ da queste persone che si sono avuti i primi risultati, verificati radiologicamente, sulle degenerazioni di anche e spalle. Queste particolari condizioni possono portare, senza preavviso, ad un considerevole danneggiamento delle ossa. Nel 1972, Edmonds e Thomas stimarono che l’incidenza della Osteonecrosi disbarica era del 50% nei sub. ( 5) Nei successivi dieci anni ci furono dieci casi di subacquei trattati per dolori alle giunture; la diagnosi fu osteonecrosi. La validità dei risultati di Edmonds e Thomas e alcuni dei casi studiati sono ora contestati per la mancanza di standardizzazione della diagnosi radiologica di osteonecrosi discarica.
L’osteonecrosi disbarica consiste in un’ostruzione dei vasi terminali ossei, probabilmente a causa di piccole embolie gassose, con infarto dell’area.
Si pensa che questa sia la conseguenza a lungo termine della malattia da decompressione, esposizione frequente ad alta pressione, insufficiente decompressione in risalita o trattamento inadeguato della patologia da decompressione.
Una diagnosi tempestiva può essere effettuata tramite esame radiologico, scintigrafia, MRI, e più recentemente ultrasonografia. ( 6,7,8 )
L’osteonecrosi nei subacquei si può presentare vicino all’articolazione (juxta articular) oppure su tutta la lunghezza dell’osso. Queste ultime consistono per lo più di grasso saponificato, sono asintomatiche, e raramente sono di rilevanza ortopedica. L’osteonecrosi articolare invece ha rilevanza clinica, dal momento che causa sintomi che possono portare a invalidità permanente.
Tali lesioni presentano aree di osso morto circondate da uno strato di collagene che forma una banda fibrosa e nuovo osso. Dietro si trova un’area di trabercole in via di guarigione.

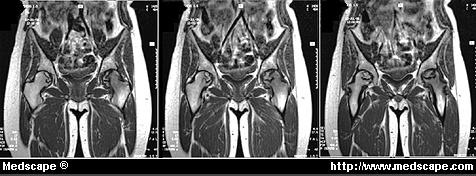
Figure 4. MRI showing juxta-articular avascular osteonecrosis of the hip. Reprinted with permission from the Virtual Hospital. La MRI mostra osteonecrosi avascolare vicino all’articolazione dell’anca.
E’ frequente una sofferenza articolare, che può essere aggravata dal movimento e irradiarsi fino all’arto con una leggera riduzione del movimento.
Nella spalla i sintomi sono simili alle lesioni della cuffia dei rotatori, con dolore nel movimento di abduzione da 60 a 180 gradi e difficoltà a mantenere l’abduzione contro resistenza.
A causa della degenerazione della cartilagine, si sviluppa un’artrite degenerativa secondaria con ulteriore riduzione nella mobilità articolare.
Nel lavoro dei cassoni, il femore è colpito 2-3 volte più frequentemente dell’omero (Walzer, 1969). Proprio il contrario per i subacquei, dove il rapporto è 1:2 o 1:3 per l’omero, che risulta più colpito (David Elliott, comunicazione personale).
Diagnostica per immagini
La radiografia è lo strumento fondamentale per diagnosticare l’osteonecrosi disbarica, ma dipende dalla qualità della radiografia e dall’esperienza del radiologo. Sebbene possano essere affette solo anche e spalle, è necessario avere radiografie anche della parte bassa del femore e di quella alta della tibia per identificare tutte le possibili lesioni ossee.
L’incidenza della necrosi avascolare nella popolazione generale non è nota, e le cause alternative di tale malattia devono essere escluse quando si ha a che fare con un subacqueo. Tali cause includono iperlipidemia, diabete mellito, pancreatite, cirrosi con alcolismo cronico, lunga terapia con steroidi, la malattia di Gaucher, e altre condizioni che sono incompatibili con la forma fisica necessaria per svolgere l’attività subacquea.
Anche se indicata per la diagnosi, la radiografia non è indicata per monitorare le variazioni nel tempo di tale malattia. Altre metodiche indicate per la diagnosi includono la scansione con MDP (99mTechnetium Methyl-dipolyphosphate), molto sensibile nel rilevare una patologia ossea localmente. Una zona scura indica aumentate perfusione e metabolismo, riconoscibile anche solo poche ore dopo l’immersione. Una positività della scansione non è diagnostica e richiede un controllo radiologico a distanza.
La risonanza magnetica (Magnetic resonance imaging – MRI) (Fig.4) riesce ad individuare precocemente le lesioni, ma costosa generalmente non rientra tra gli esami di screening per una ampia popolazione. Fu usata nel 1981 dal Decompression Sickness Registry, il quale ha rilevato che la percentuale di necrosi, sia articolare che ossea, aumenta in un campione di subacquei con l’età e con l’esperienza.
E’ stata trovata almeno una lesione nel 4,2% di una popolazione di 4980 subacquei.
Non sono state trovate lesioni nei subacquei che non hanno mai oltrepassato i 30 metri di profondità, ma sono state trovate in 30 su 190 maschi (15,8%) che si erano immersi a profondità superiori ai 200metri.
Da ciò si può supporre che esaminare dei subacquei “profondisti”con MRI può aiutare a diagnosticare lesioni articolari e a prevenirne il collasso. ( 9)
E’ necessario effettuare diagnosi precoce attraverso un esame radiologico delle ossa lunghe annuale ed indagini radiologiche di ogni artralgia minore o borsiti e controllo radiografico 2 mesi dopo un episodio decompressivo. Lesioni asintomatiche restringono l’idoneità subacquea a immersioni poco profonde e vietano decompressione, immersioni scientifiche e commerciali.
Ovviamente una lesione articolare preclude l’attività subacquea. Viene raccomandato un intervento chirurgico precoce con decorticazione dell’area interessata e inserimento di protesi.
Effetti otologici
E’ stato teorizzato che i subacquei sono una categoria a rischio per la sordità.
Per provare questa ipotesi Molvaer, Albrektsen ( 10) e Talmi ( 11) hanno effettuato degli esami audiometrici su subacquei confrontandoli con quelli di coetanei non subacquei. In entrambi i lavori scientifici è stata dimostrata una maggior perdita di udito nel gruppo di subacquei rispetto ai controlli.
Un altro studio di Molvaer ( 12) ha dimostrato che nella maggior parte delle frequenze i subacquei avevano una soglia uditiva più alta rispetto ai soggetti normali della stessa età, sia all’esame iniziale che finale. Alcuni dei sub avevano inoltre una perdita di udito permanente legata a barotrauma acuto.
Egli ha dunque concluso che i sub professionisti hanno un deterioramento dell’udito più rapido rispetto a quello fisiologico che si riscontra nella popolazione non subacquea, ed evidenziato che i subacquei sono a rischio di danni a lungo termine del sistema cocleo-vestibolare, con perdita di udito alle alte frequenze. ( 13)
Il fumo sembra potenziare il rischio di perdita di udito alle alte frequenze. Una perdita lenta di udito senza causa identificabile viene considerato effetto a lungo termine dell’attività subacquea, tuttavia rumori percussivi sono la causa più probabile di questa perdita di udito nei sub professionisti; il rumore del gas che entra nella camera durante la compressione, la sua circolazione negli elmetti subacquei, l’uso di attrezzi rumorosi sott’acqua e occasionali esplosioni subacquee sono tipiche cause di sordità nei sub, ed esposizioni ripetute anche se di minor entità possono avere lo stesso effetto.
Effetti polmonari
E’ generalmente accettato che i sub abbiano una maggior capacità vitale dei non sub, ma questa teoria è stata contestata da uno studio di Thorsem ed altri. ( 14) In 152 sub in saturazione, rispetto a 106 soggetti di controllo, ha rilevato differenze variabili tra i 2 gruppi. Disfunzioni delle piccole vie aeree con modificazioni transitorie della funzione polmonare sono state registrate dopo una singola immersione in saturazione. L’associazione tra una ridotta funzionalità polmonare ed esposizione pregressa all’immersione suggerisce che si accumulino effetti a lungo termine dell’immersione subacquea sulla funzione polmonare. Queste modificazioni della capacità vitale hanno probabilmente un effetto minimo in subacquei in salute, anche se Lehnigk e collaboratori hanno indicato che i sub sviluppano un certo grado di ostruzione al flusso d’aria dovuto al restringimento delle vie aeree. ( 15)
La capacità di diffusione polmonare peggiora con l’età e questo processo può essere accelerato nei subacquei. Recenti ricerche, limitate ad immersioni profonde, hanno evidenziato una diminuzione della diffusione polmonare dopo immersione, senza significato clinico e con recupero in poche settimane
La modificazione della capacità di diffusione polmonare è inoltre associata ad una minore resistenza all’esercizio fisico, ma questo ha significato funzionale più che clinico.
Effetti neurologici
Alcuni lavori scientifici hanno evidenziato una deviazione statisticamente significativa dalla normalità, con disfunzioni a carico di potenziali evocati, capacità cognitive, memoria e midollo spinale, ma senza associazione con malattie cliniche; un esempio è la risposta ritardata del potenziale evocato sensitivo P40, tibiale posteriore, in lavoratori subacquei apparentemente in salute. Uno studio sempre con i potenziali evocati durante e dopo Patologia acuta da decompressione ha evidenziato una loro modificazione nel tempo. ( 16)
Ciò nonostante ci sono ben poche ricerche su sub senza storia di PDD.
In uno studio di Todnem e collaboratori, sono stati effettuati degli esami neurologici a 40 sub in aria e saturazione e a 100 controlli. ( 17) I subacquei hanno in generale segni di anormalità neurologiche più frequenti rispetto ai controlli. I sintomi più evidenti sono difficoltà di concentrazione e problemi nella memoria a breve e a lungo termine. La maggior parte di tali problemi nei sub sono riconducibili a disfunzioni nella parte distale del midollo spinale o delle vie nervose e a polineuropatia. I sintomi neurologici generali ed i vari problemi sono correlati in maniera indipendente con esposizione subacquea, prevalenza di PDD ed età del sub.
Peter, Levin e Kelly ( 18) hanno intervistato 10 sub con storia di PDD che avesse coinvolto il sistema nervoso centrale; in 8 di questi erano presenti inequivocabili deficit neurologici con lesioni sopraspinali multiple ed in 7 di questa sottopopolazione, sottoposti ad una completa batteria di test , risultavano deficit importanti. I deficit suggerivano lesioni multiple del sistema nervoso centrale da PDD, dimostrando l’importanza dei test neurologici e neuropsichiatrici per valutare gli effetti a lungo termine degli incidenti subacquei.
Un altro lavoro prodotto da Palmer, Calder e Hughes ( 19) ipotizza che il danno si realizzi anche per manifestazioni subcliniche di PDD. Esaminando il midollo spinale di 8 sub professionisti e 3 ricreativi deceduti accidentalmente, hanno trovato degenerazioni delle colonne posteriori, laterali ed anteriori, nonché, in un caso, delle fibre afferenti.
Un recente lavoro di Morild e Mork ( 20) dimostra che il danno ependimale è ugualmente preoccupante. Le cellule ependimali rivestono tutte le cavità cerebrali e controllano la produzione ed il flusso del liquido cerebrospinale. Lo sconvolgimento di questo processo induce modificazioni cerebrali in generale coinvolgendo funzioni motorie, sensitive, della memoria e della cognizione, fino alla perdita del rivestimento ependimale nei ventricoli del cervello. La perdita media di cellule ependimali è stata paragonata nei due gruppi, sub e controlli, risultando statisticamente maggiore nei subacquei. Se questi venivano a loro volta differenziati in ricreativi e professionisti, solo in questi ultimi si evidenziavano variazioni significative, specie se non avevano praticato saturazione.
Un altro studio di Mork e colleghi ( 21) su 10 sub amatoriali e 10 professionisti non ha evidenziato degenerazione, necrosi o formazioni cicatriziali nel midollo spinale di sub deceduti e studiati con metodi istopatologici o immunocitochimici.
Chiaramente il rischio di effetti a lungo termine nei sub ricreativi rimane ancora da sviluppare. C’è evidenza scientifica che i sub professionisti soffrano di un maggior numero di residui permanenti, anche se non raggiungono significato clinico. In ogni modo, come David Elliott sottolinea, “nonostante le ricerche più dettagliate, nessuna ha dimostrato deficit tali da indurre una modifica degli standard correnti di valutazione del sub, per sospenderlo dall’immersione anche in caso sia in salute e non abbia sofferto di PDD.” ( 22)
Un attento, standardizzato esame neurologico è alla base per ogni studio sugli effetti a lungo termine nei subacquei. Quelli professionisti Norvegesi sono stati accuratamente studiati. Todnem e collaboratori ( 23) hanno paragonato 156 sub con 100 soggetti non sub della stessa età. Sfortunatamente l’esame è stato effettuato dopo aver raccolto la storia medica, creando un pregiudizio. Se il sub riportava fatica, labilità nell’umore, irritabilità, difficoltà nella concentrazione o problemi di memoria, questi venivano considerate come manifestazioni di mancanza di decompressione. Sintomi correlati al sistema autonomico (palpitazioni, diarrea e costipazione, eccessiva sudorazione, disfunzioni sessuali) venivano anch’essi correlati a PDD. L’esame fisico considerato positivo includeva tremori posturali, modificazione del segno di Romberg, riduzione della sensibilità ai piedi. Non è stata evidenziata alcuna specifica sindrome ma, quando tutti i sintomi ed i segni sono stati sommati numericamente, il gruppo dei subacquei aveva un punteggio statisticamente più alto rispetto al gruppo di controllo.
Todnem e colleghi ( 17) hanno riscontrato che gli esami neurologici dei sub commerciali in saturazione erano correlati con l’esposizione ad immersioni profonde, ma ancor più con immersioni in aria e saturazione ed esposizione a PDD.
In uno studio retrospettivo su subacquei con problemi neurologici cronici, Todnem e Vaernes ( 24) hanno trovato segni di atassia ed anormalita Eegrafiche in 5 sub su 18 immediatamente dopo una immersione profonda. Test neuropsicologici prima e dopo immersioni profonde in 64 sub rilevavano una riduzione della reattività autonomica (48%), aumento del tremore delle mani (27%), inabilità della memoria spaziale e riduzione della coordinazione delle dita (8%) dopo l’immersione; questi risultati non erano migliorati un anno dopo. Un follow-up di 40 sub, a distanza di 1-7 anni dopo la loro ultima immersione profonda, ha evidenziato che essi avevano più problemi di concentrazione ed erano più soggetti a parestesie ai piedi e alle mani rispetto ai controlli. Dopo immersioni profonde erano registrati: convulsioni in 2 casi, episodi di ischemia cerebrale transitoria in 1, amnesia globale transitoria in 1.
Cambiamenti neuropsicometrici
Edmonds e Hayward ( 25) hanno somministrato una batteria di test neuropsicologici ad un gruppo di sub e di pescatori. Non si è dimostrata alcuna alterazione della cognizione nei sub, anche se esposti a stress decompressivo. Comunque in un altro studio Edmonds ( 26) segnala contraddittori risultati, con sub che sviluppano una sindrome caratterizzata da ridotta capacità intellettuale (demenza o “stordimento del pugile”).
Vaernes e collaboratori ( 27) studiando 64 sub in saturazione profonda (gruppo DSD) e 32 sub esperti che stavano iniziando immersioni in saturazione hanno riscontrato modificazioni neuropsicologiche tra medie e moderate (peggioramento maggiore del 10%) nelle misure di tremore, memoria spaziale, vigilanza e reattività automatica nel 20% dei sub dopo immersioni profonde (gruppo DSD). Un anno dopo l’immersione non si aveva ancora recupero, eccetto che nei test per la vigilanza.
I ricercatori concludono che esami neurologici più estesi potrebbero indicare la presenza di un processo patologico di media gravità, che esami neurologici standard non sono in grado di evidenziare.
Altri studi ( 28,29 ) hanno suggerito una sindrome da ridotta capacità intellettuale in subacquei in buona salute che avevano avuto PDD. In quelli senza PDD si registravano modificazioni della memoria e del ragionamento verbale, ma questi cambiamenti erano attribuiti all’avanzare dell’età e non all’immersione. L’evidenza dei cambiamenti neuropsicometrici nei subacquei non è ben manifesta, ma, ancora una volta, ci sono motivi che giustificano l’intrapprendere uno studio longitudinale.
Altri effetti sistemici
Ricercatori come Polkinhorne ( 30), Scholz ( 31), Day ( 32), Kania ( 33) e Holden ( 34) hanno rilevato modificazioni oculari nei sub. Alterazioni degli enzimi epatici sono stati segnalati da Doran ( 35) ed effetti sul cuore e sulla cute sono stati trovati rispettivamente da Maehle e Stuhr ( 36) e Ahl’en, Iverson, Risberg, Golden, Aarstet e collaboratori ( 37).
Gli effetti dell’immersione sull’occhio sono stati attentamente ricercati. Polkinhorn ( 30) ha studiato il fondo dell’occhio di 84 sub ed ha riscontrato che i sub hanno significativamente più anormalità dell’epitelio pigmentato della retina del gruppo di controllo di soggetti non sub. In aggiunta, la prevalenza delle anormalità del fondo dell’occhio erano correlate alla lunghezza della storia di immersioni. Le modificazioni natate erano costanti con blocco dei vasi retinici e coroidali, per le bolle indotte dalla decompressione o per alterato comportamento dei costituenti del sangue durante gli aumenti della pressione. Sholz ( 31), in altre parole, non ha riscontrato evidenza di danni retinici causati dall’immersione in un ampio studio sulla visione dei colori dei sub. In uno studio della pupilla per difetti neurologici, Day ( 32) studiò il ciclo della pupilla nella valutazione neurologica dei sub con risultati equivoci. Kania ( 33) ha riscontrato che sub professionisti che non avevano mai sofferto di PDD avevano modificazioni del fondo oculare simili a quelle di sub che avevano avuto PDD, arrivando alla conclusione che l’immersione può causare modificazioni degenerative permanenti nel fondo dell’occhio. Una valutazione con angiografia alla fluoresceina è stata eseguita da Holden ( 34) in 26 sub che avevano effettuato immersioni sicure per almeno 10 anni e su 7 controlli. Non c’erano differenze significative, indicando che le anormalità maculari viste nei sub possono essere controllate da immersioni sicure. Doran ( 35) ha documentato che ci sono significative alterazioni degli enzimi epatici nei sub in saturazione.
Stuhr e Maehle ( 36)hanno trovato che nei ratti ripetute esposizioni iperbariche producono una riduzione della funzionalità, della massa e della morfologia cardiaca.
Modificazioni croniche della cute sono state notate in una condizione chiamata “mani del subacqueo” per immersioni professionali in saturazione ( 37).
Modificazioni cellulari
Fox ( 38) ha studiato due gruppi di sub (77 sub in aria e 76 in elio-ossigeno) confrontandoli con due gruppi di controllo (75 lavoratori negli impianti di perforazione petrolifera e 52 soggetti non dell’industria petrolifera). Sei dei 153 su (3.9%) avevano un inusuale numero elevato di aberrazioni strutturali in una piccola porzione dei linfociti in divisione. I rischi alla salute indotti da queste cellule anormali sono sconosciuti, ma i difetti manifestati, nella maggior parte dei casi, erano così rilevanti che le cellule stavano quasi per morire durante la mitosi. Le aberrazioni osservate erano tipiche di quelle indotte dalle radiazioni ionizzanti e dove presenti in pari numero nei sub in aria e in quelli in miscele. Nessuno dei sub affetti era stato ammesso ad usare sorgenti gamma per esaminare le saldature in profondità, mentre qualcuno dei sub che aveva cromosomi normali aveva usato isotopi. Danni simili non erano presenti nei controlli.
Diagnostica per immagini del sistema nervoso

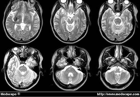
Figure 5. MRI demonstrating brain infarction and degeneration. Reprinted with Permission from Ray Ballinger, MD, PhD. (L’immagine con Risonanza Magnetica evidenzia infarto cerebrale e degenerazione)
MRI
La MRI (Risonanza magnetica nucleare) è uno strumento di valido aiuto per investigare sugli effetti sul sistema nervoso centrale nei subacquei.
Con tale tecnica, dei segnali ad alta intensità, visibili come macchie bianche, indicano danni tissutali, e sono stati registrati nei subacquei. Si pensa che siano un indicatore molto significativo per danni al sistema nervoso centrale. La MRI è stata usata per la prima volta dai Norvegesi (Todnem e collaboratori) ( 39) per lo studio della PDD; essi riscontrarono che fino al 33% di tutti i sub avevano tali variazioni di luminosità nei segnali durante l’esame. Studi analoghi di Brubakk ( 40) e Rinck e collaboratori ( 41) hanno confermato tali risultati.
Tomografia
L’uso dell’emissione fotonica semplice computerizzata (SPECT) e del 99m HMPAO nei soggetti allenati alla fuoruscita da sottomarino con episodio noto di embolismo gassoso cerebrale è stato per la prima volta descritto da Adkisson e collaboratori ( 2). Questa tecnica è stata da allora usata nei sub con PDD acuta. La miglior applicazione di tale metodica attende correttamente una standardizzazione delle tecniche e dei criteri diagnostici tra i vari centri di ricerca. L’uso del marker radioattivo 99m HMPAO ( 42, 43, 44, 45 ) non si è esteso per l’incongruenza etica dell’uso stesso in soggetti in apparente stato di salute.
Elettrofisiologia
L’elettroencefalogramma spontaneo ed i potenziali evocati sono stati usati in persone che avevano sofferto di PDD acuta ( 46). Malgrado la definizione attenta delle procedure e dei criteri diagnostici delle anormalità, tale test è, nel migliore dei casi, soltanto un possibile indicatore di patologia. In un ampio studio di Todnem e collaboratori ( 39), Elettroencefalogrammi anormali con onde focali lente principalmente nelle regioni temporali e potenziali interrotti sono stati trovati nel 18% dei subacquei e nel 5% dei dei controlli (P = 0.003). EEG anormali sono stai correlati in maniera significativa con l’esposizione ad immersioni in saturazione (P = 0.0006) ed alla prevalenza della PDD (P = 0.0102). Che i sub in saturazione abbiano più frequentemente EEG anormali, anche in assenza di una storia di PDD, ha indotto il gruppo di ricerca a sostenere l’uso dell’EEG nell’esame periodico di valutazione della salute dei subacquei profondisti.
Standardizzazione delle Tecniche Diagnostiche
La mancanza di standardizzazione diagnostica è il difetto principale negli studi relativi all’immersione. Con accordi sulle tecniche diagnostiche e sulla diagnosi radiologica stabiliti verso la fine degli anni 50 e 60, i ricercatori si sono allontanati dalle descrizioni cliniche della malattia ed orientati prevalentemente verso indagini sulle lesioni pre-sintomatiche nella popolazione di sub apparentemente sana.( 47, 48, 49, 50, 51) Ulteriori indagini di natura prospettica sono richieste per correlare gli effetti dannosi e a lungo termine dell’immersione subacquea e determinare le circostanze in cui questi effetti si presentano.
Conclusioni
Gli effetti negativi a lungo termine delle immersioni profonde includono osteonecrosi disbarica, ridotta funzionalità polmonare dovuta ad ostruzione delle vie aeree, perdita di udito, e modificazioni a livello del fegato. Ci sono studi che hanno ipotizzato variazioni neurologiche, ma questi ultimi hanno subito delle critiche a causa di alcune lacune nei presupposti della sperimentazione.
Sono state registrate variazioni a livello cellulare simili a quelle riscontrate a seguito dell’esposizione a radiazioni ionizzanti, ma non sono stati effettuati degli studi controllati per verificare che l’immersione causi i danni cellulari.
La gravità degli effetti nel complesso ed il punto in cui si manifestano nei sub profondisti deve ancora essere provata. Resta un mistero anche il punto a partire dal quale tali effetti fanno la loro comparsa nei subacquei ricreativi, con quali profondità e tempi di immersione. Non essendo disponibili informazioni scientifiche definitive, si può solo supporre che le bolle d’aria arrivino sempre negli organi finali, modificandoli in qualche modo.
Ci sono report su encefalopatia, danni della funzione cognitiva ed anormalità elettroencefalografiche, fornendone solo spiegazioni razionali. Tuttavia il Diver Alert Network ha dichiarato: “L’ipotesi di qualsiasi danno cerebrale rimane collegata alle cosiddette bolle silenti che si formano nel sangue o nel cervello e midollo spinale. Il fatto che esse esistano è stato ampiamente dimostrato tramite la tecnologia Doppler nel sangue e nei tessuti con studi sul midollo spinale di animali. Ad ogni modo, resta da provare che tali bolle silenti causino modificazioni…
I subacquei non dovrebbero prendere queste ipotesi troppo seriamente. Sono necessarie nuove ricerche, ma il mondo è pieno di subacquei che hanno effettuato immersioni per più di 40 anni, e che
non mostrano alcun deterioramento nelle loro abilità con interessamento della qualità di vita… Certamente i risultati degli studi scientifici disponibili ad oggi non devono essere presi per buoni a priori. Ad ogni modo, in assenza di forme neurologiche di PDD,
molti altri studi che hanno paragonato subacquei a non-subacquei, non sono riusciti a dimostrare che l’immersione subacquea a lungo termine causi danni neurologici o qualunque anomalia funzionale.( 52)
Bibliografia
1. Hope A, Lund T, Elliott D, et al (eds): Long-term Health Effects of Diving. Flagstaff, Ariz, Best Publishing Company,1994
2. Adkisson GH, Macleod MA, Hodgson M, et al: Evidence for cerebral perfusion deficits in 28 cases of dysbarism. Lancet 2:119-121, 1989
3. Hodgson M, Smith DJ, Macleod MA, et al: Case control study of cerebral perfusion deficits in divers using 99Tcm hexamethylpropylene amine oxime. Undersea Biomed Res 18(5-6): 421-431, 1991
4. Bove AA (ed): Diving Medicine ed 3. p.287. Philadelphia, WB Saunders Co, 1997
5. Edmonds C and Thomas RL: Medical Aspects of Diving-Part 4. Med Jour 2: 1416, 1972
6. Harrison JA: Radiological Criteria in Diagnosing Dysbaric Osteonecrosis. pp. 151-9. Dysbarism-related osteonecrosis Washington DC, US Dept. of Health, Education and Welfare, 1974. WE 200 399d 1972, O
7. Pearson RR: Bone scintigraphy as an investigative aid for dysbaric osteonecrosis in divers. J R Nav Med Serv 68(2):61-68, 1982
8. Zhang LD: Use of ultrasonography in the diagnosis of dysbaric osteonecrosis. Undersea Biomed Res 17(6):535-541, 1990
9. Trowbridge WA: An appraisal of the composition data storage project at the Newcastle-upon-Tyne Decompression Sickness Central Registry. Thesis, University of Newcastle-upon-Tyne, England, 1982
10. Molvaer OI and Albrektsen G: Hearing deterioration in professional divers: An epidemiologic study. Undersea Biomed Res 17(3):231-246, 1990
11. Talmi YP: Barotrauma-induced hearing loss. Scand Audiol 20(1):1-9, 1991
12. Molvaer OI and Lehmann EH: Hearing acuity in professional divers. Undersea Biomed Res 12(3): 333-349, 1985
13. Molvaer OI and Albrektsen G: Alternobaric vertigo in professional divers. Undersea Biomed Res 15(4):271-282, 1988
14. Thorsen E, Segadal K, Kambestad B, et al: Divers lung function: Small airways disease? Br J Ind Med 47(8):519-523, Aug 1990
15. Lehnigk B, Jorres RA, Elliott DH, et al: Effects of a single saturation dive on lung function and exercise performance. Int Arch Occup Environ Health, 69(3):201-208, 1997
16. Murrison AW, Glasspool E, Pethybridge RJ, et al: Neurophysiological assessment of divers with medical histories of neurological decompression illness. Occup Environ Med Nov 51(11):730-734, 1994
17. Todnem R, Nyland H, Skeidsvoll H, et al: Neurological long term consequences of deep diving. Br J Ind Med 48(4):258-266, 1991
18. Peters BH, Levin HS, Kelly PJ: Neurologic and psychologic manifestations of decompression illness in divers. Neurology 27(2):125-127, 1977
19. Palmer AC, Calder IM, Hughes R: Spinal cord degeneration in divers. Lancet 2:1365-1366, 1987
20. Morild I, Mork SJ : A neuropathologic study of the ependymoventricular surface in diver brains. Undersea and Hyperbaric Medicine 21(1):43-51, 1994
21. Mork SJ, Morild I, Brubakk AO, et al: A histopathologic and immunocytochemical study of the spinal cord in amateur and professional divers. Undersea and Hyperbaric Medicine 21(4):391-402, 1994
22. Elliott DH: Long-term sequelae of diving. J R Soc Med 82(2):79-80, 1989
23. Todnem K, Nyland H, Kambestad BK, et al: Influence of occupational diving upon the nervous system: An epidemiological study. Br J Ind Med 47(10):708-714, 1990
24. Todnem K, Vaernes R: Acute and chronic effects of deep diving on the nervous system. Tidsskr Nor Laegeforen 113(1), 36-39, 1993
25. Andrews G, Holt P, Edmonds C, et al: Does non-clinical decompression stress lead to brain damage in abalone divers?. Med J Aust 144(8):399-401, 1986 Apr
26. Edmonds C and Boughton J: Intellectual deterioration with excessive diving (punch drunk divers). Undersea Biomed Res 12(3):321-326, 1985 Sept
27. Vaernes RJ, Klove H, Ellertsen B: Neuropsychologic effects of saturation diving. Undersea Biomed Res 16(3):233-251, 1989 May
28. Vaernes RJ, Klove H, Ellertsen B: Neuropsychological Effects of Saturation Diving. Undersea Biomed Res (3):233-251, 1989, May 16
29. Reul J, Weis J, Jung A, et al: Central nervous system lesions and cervical disc herniations in amateur divers. Lancet 345(8962):1403-1405, 1995 Jun 3
30. Polkinghorne PJ, Sehmi K, Cross MR, et al: Ocular fundus lesions in divers. Lancet 2:1381-1382, 1988
31. Scholz R, Hofmann H, Duncker G: Mass screening of blue color vision in divers with the desaturated Lanthony-15-Hue Test. Fortschr Ophthalmol 88(5):505-508, 1991
32. Day RT: Pupil cycle time in the long-term neurologic assessment of divers. Undersea Hyperb Med 21(1):31-41, 1994
33. Kania B and Krzyzak J: Comparative investigations of changes in the ocular fundus of divers. Klin Oczna 92(5-6):92-93, 1990
34. Holden R, Morsman CD, Lane CM: Ocular fundus lesions in sports divers using safe diving practices. Br J Sports Med 26(2):90-92, 1992
35. Doran GR, Chaudry L, Brubakk AO, et al: Disturbed liver function in divers – further enzymological evidence. Abstract No. 90, Undersea Biomedical Research Supplement to Vol 17, Joint Meeting on Diving and Hyperbaric Medicine, August 1990
36. Stuhr LE, Maehle BO: The effect of losartan on cardiac function, mass and morphology in rates after repeated hyperbaric exposures. Scand J Clin Lab Invest 57(3):253-261, 1997, May
37. Ahl’en C, Iverson OJ, Risberg J, et al: Diver’s hand: A skin disorder common in occupational saturation diving. Occup Environ Med 55(2):141-143 1998, Feb
38. Fox DP, Robertson FW, Brown T, et al: Chromosome aberrations in divers. Undersea Biomed Res 11(2):193-204, 1984
39. Todnem K, Skeidsvoll H, Svihus R, et al: Electroencephalography, evoked potentials and MRI brain scans in saturation divers: An epidemiological study. Electroencephalogr Clin Neurophysiol 79(4):322-329, 1991
40. Brubakk AO: Central nervous system changes in professional divers as evaluated by MRI. Abstract No. 125, Undersea Biomedical Research Supplement to Vol 17, Joint Meeting on Diving and Hyperbaric Medicine, August 1990
41. Rinck PA, Svihus R, de Francisco P: MR imaging of the central nervous system in divers. J Magn Reson Imaging 1(3):293-299, 1991
42. Wilmshurst PT, O’Doherty MJ, Nunan TO: Cerebral perfusion deficits in divers with neurological decompression illness. Nucl Med Commun 14(2):117-120, 1993 Feb
43. Shields TG, Duff PM, Evans SA, et al: Correlation between 99Tcm-HMPAO-SPECT brain image and a history of decompression illness or extent of diving experience in commercial divers. Occup Environ Med 54(4):247-253, 1997 Apr
44. Broome JR: Brain damage in divers. Br Med J 314(7096):1761, 1997
45. Staff RT, Gemmell HG, Duff PM, et al: Decompression illness in sports divers detected with technetium-99m-HMPAO SPECT and texture analysis. J Nucl Med 37(7):1154-1158, 1996 Jul
46. Todnem K and Vaernes R: Acute and chronic effects of deep diving on the nervous system. Tidsskr Nor Laegeforen 113(1):36-39, 1993 Jan
47. Harrison JA: Early diagnosis and pitfalls in diagnosis of aseptic bone necrosis in divers. Proc R Soc Med 70(7):486-487, 1977
48. Harrison JA: Aseptic bone necrosis in naval clearance divers: Radiographic findings. Proc R Soc Med 64(12):1276-1278, 1971
49. Harrison J: Aseptic bone necrosis in divers. Br J Radiol 45(533):393, 1972
50. Elliott DH: The role of decompression inadequacy in aseptic bone necrosis of naval divers. Proc R Soc Med 64(12):1278-1280, 1971
51. Elliott DH: Incidence of osteonecrosis in Royal Naval divers. pp. 7-8, in Beckman EL, Elliott DH (eds): Dysbarism-related osteonecrosis, Washington, DC, US Dept, HEW 1974
52. Divers Alert Network: DAN responds to Lancet article – Long-term consequences of diving. J Underwater Education:27-28, 1996 Fall
DISCAIMER.
Gli Autori non sono responsabili in alcun modo dell’uso improprio del contenuto; hanno basato le loro relazioni sulla più recente letteratura medica e sulla loro personale esperienza professionale, ma non suggeriscono alcun farmaco, prodotto o trattamento descritti, menzionati o di cui si sia discusso in questo sito e non danno una valutazione sulla loro efficacia, appropriatezza e idoneità.
Il lettore è incoraggiato a consultare altre fonti per confermare le informazioni fornite rivolgendosi direttamente al proprio medico subacqueo personale per fini diagnostici e/o terapeutici.
Si ringraziano il Prof. Ernest S Campbell per l’articolo fornito e il Prof. Maurizio Schiavon per la gentile revisione della traduzione.
E’ assolutamente vietata la riproduzione, anche parziale, del testo e delle foto presenti in questo articolo, senza il consenso dell’autore.












2 commenti su “Subacquea: effetti a lungo termine”
Premetto che ritengo innocente Scubaportal (è un portale web che ha pubblicato un articolo scritto in US, tra l’altro verificato dal migliore medico italiano dello sport esperto in medicina subacquea).
L’articolo è lungo, noioso ed ha la muffa (informazioni vecchie). Guardate la letteratura: tutta antecedente il 2000. E’ fuorviante: non c.è un solo riferimento al numero ore immersioni per anno, alle pressioni parziali dei gas (cioè profondità, miscela, circuito aperto o rebreather) delle immersioni che avrebbero causato danni. Per esempio, quando parla di necrosi (morte) delle ossa – osteonecrosi disbarica – non è chiaro che sia un rischio per gli Operatori Tecnici Subacquei che trascorrano almeno trenta ore di permanenza in saturazione per anno e nel caso di mancato rispetto delle buone prassi previste dalle Ditte per la decompressione da saturazione (riposo notturno, velocità, altro). E’ il tuo caso?
Amici subacquei, rispettate le buone prassi SIMSI (vedi sotto) e non solo eviterete danni a lungo termine ma, anzi, con almeno venti ore di immersione per anno correttamente effettuate sarete protetti meglio da incidente cardiovascolare come infarto e ictus, da alcuni tipi di tumore e vivrete bene più a lungo della media nella popolazione di riferimento per razza, genere, età.
Nota: sintesi delle buone prassi SIMSI: idoneità sanitaria all’attività subacquea rilasciata da un medico subacqueo (che sia in possesso di diploma DMAC / ECB livello 1 o 2); almeno 20 ore di immersione per anno; ppO2 1,3 bar nella miscela di fondo, ppN2 massima 3,2 bar, meglio quanto più Elio possibile; DPV / scooter; giubbotto riscaldante per il tepore in risalita; ricerca dello shunt / PFO solo in caso di incidente da decompressione cutaneo recidivante, cerebrale o orecchio interno, attività fisica (8mila passi al giorno).
Buone immersioni,
dottor Pasquale Longobardi Presidente Società Italiana Medicina Subacquea e Iperbarica http://www.simsi.it
Ciao Pasquale, grazie. L’articolo autorevole ma del 2005 e se hai voglia di inviarci un tuo articolo sarà un piacere pubblicarlo.
Ciao, Marco